Six Month Smiles: A Platinum Provider of Six Month Smiles

Dentists Dr Andrew Taylor and Dr Katy-Ann Rowe are providing lots of cases of Six Month Smiles at our practice in Wadebridge, Cornwall. Just ask your dentist or click here for more information
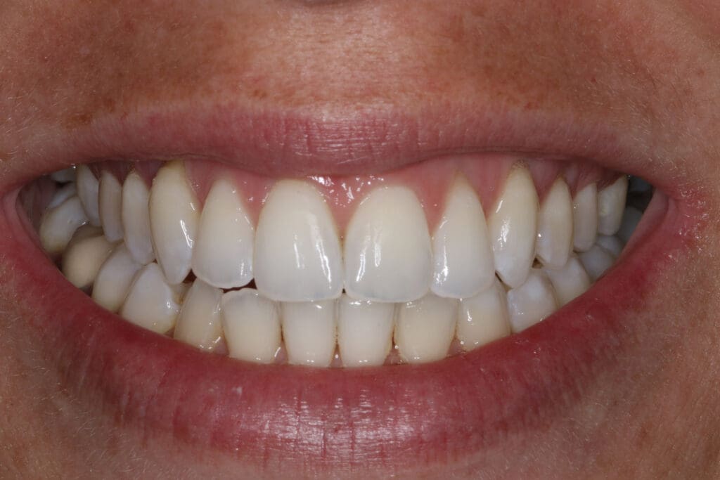
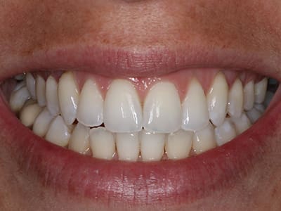
Six Month Smiles® short term orthodontic treatment is a modern twist on tried-and-true orthodontics developed in the USA. It is now widely used across the UK, as it is an effective method of straightening teeth that takes on average just six months.
Six Month Smiles can be used on teeth which are crooked, twisted or even gapped. Tooth coloured wires and brackets are used, making it a popular option for adults who may not want to wear a traditional ‘train track’ metal fixed brace.
Here is what makes Six Month Smiles so innovative
- Average treatment times of only six months
- Six Month Smiles Lucid-Lok® clear brackets and tooth-colored wires are barely visible
- Use of braces has shown to provide the most conservative and predictable final result
- Six Month Smiles Patient Tray Kits™ ensure that your appointments are fast and comfortable
- Low forces and short overall orthodontic treatment times increase comfort, safety, and hygiene
- Six Month Smiles is typically less expensive than traditional braces, aligner therapy, or veneers
From £3000 or From £69/month using finance
- FOR A LIMITED TIME ONLY FREE OPALESCENCE TEETH WHITENING WORTH £500 WHEN PAYING IN FULL AT THE START OF TREATMENT*
- 12 MONTHS 0% FINANCE AVAILABLE






