Dental Implants Cornwall
Why Choose us for Dental Implants in Wadebridge, Cornwall?
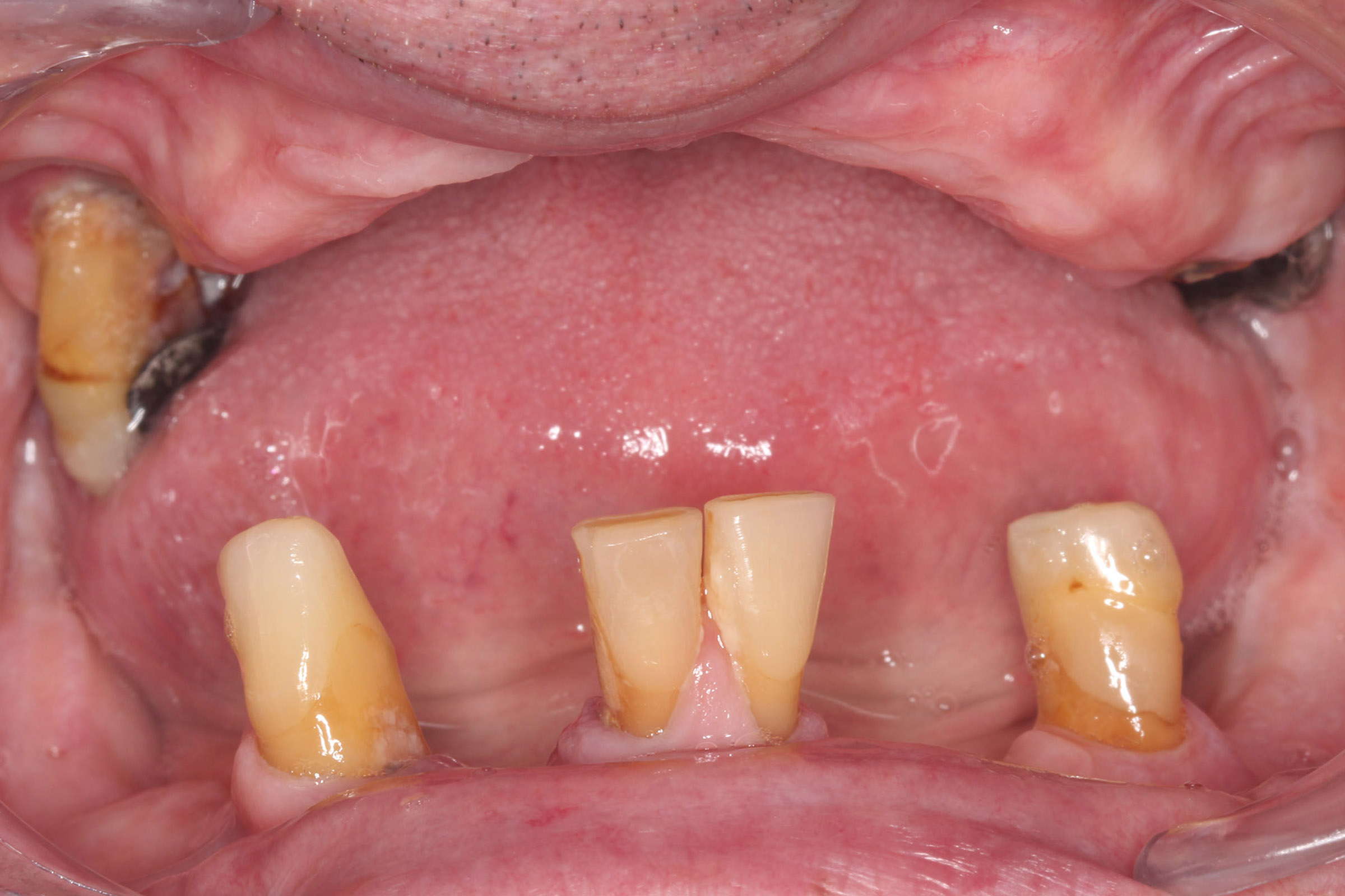
Are missing teeth or loose dentures affecting your confidence? At Wadebridge Dental Care, we specialise in providing high-quality dental implants in Cornwall.
From £62/month or £3,650
Affordable Implants with Finance in Wadebridge
Book your Consultation today
Dr Andrew Taylor, our Implant Dentist
Restore Your Smile at Wadebridge Dental Care
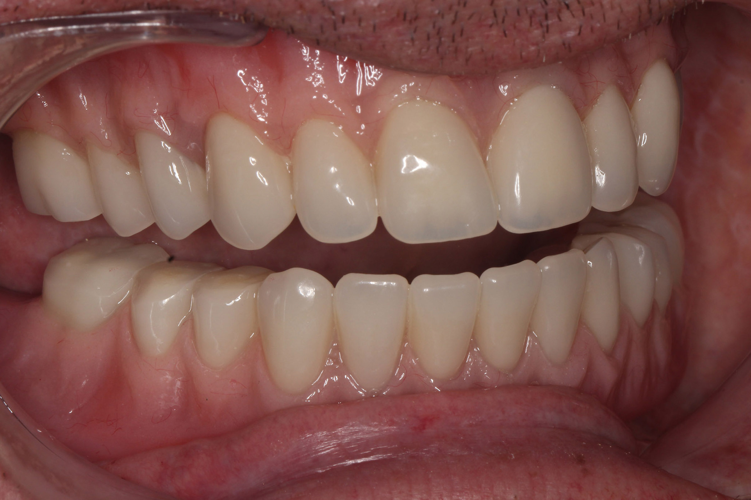
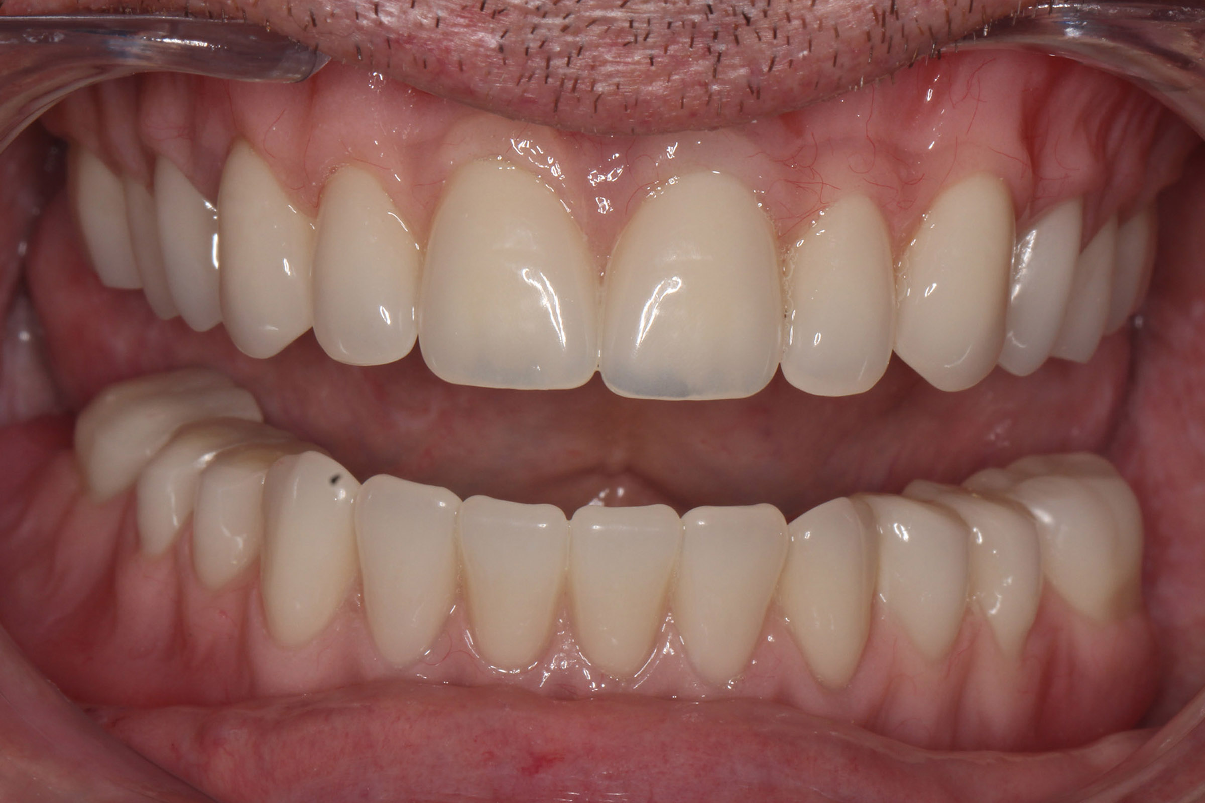
With Implants, you will be able to smile with confidence and eat the foods you have always wanted without pain or discomfort. You will regain your confidence with the smile you have always dreamed of and enjoy your life to the fullest.
Only those who have lived with missing teeth or loose dentures will appreciate the experience of favourite foods being off the menu or the lengths you’ll go to cover a smile that should be proudly on show.
Dr Andrew Taylor has undergone advanced training to be able to offer dental implants to an incredibly high level. You are in the most safe and experienced hands at Wadebridge Dental
Implant Treatment in Cornwall
With all dental implant treatment at Wadebridge Dental, you will receive:
What are the main benefits of dental implants?
Same Day Teeth
Fixed and natural looking teeth in just one visit
We can replace missing, single/multiple failing teeth with implants on the same day.
Your dentist will tell you at your complimentary consultation if you are suitable for same day teeth.
All on 4 Implants
The ‘same-day teeth’ more commonly relates to a complete jaw or both jaws of implants. It can be achieved using the ‘All on 4 implants’ technique or with 6-8 or more implants in each jaw depending on the need and whether a fixed denture or fixed crowns and bridges are desired.
All on 4 implants are a quick, safe and cost-effective dental treatment for anyone whose self-confidence and quality of life are affected by missing teeth. All on 4 implants even work in people who have a lack of bone although some bone rebuilding is sometimes necessary. All on 4 implants are a fantastic dental treatment for people already wearing dentures and those who want to have fixed teeth again.
A new ‘fixed’ set of teeth (either bridgework or a fixed denture) are screwed onto dental implants which have been placed on the very same day. Initially these are a provisional set of teeth that look and feel great and are then replaced with a more permanent set some months later. With the ‘All on 4’ a fixed denture replaces a full arch of missing teeth with only 4 dental implants. If you have no natural teeth left, or would like your few remaining teeth replaced with a more attractive and long-term solution, then the implant solution is a great option for you, whether a fixed denture on ‘All on 4’ implants or fixed bridgework on 6-8 implants.
Implant retained Ostend Bridge
A removable bridge but with all the benefits of a fixed solution. The bridge is held in place by an implant retained bar to give that fixed feeling. Offering a price friendly stable option for patients who do not want the roof of their mouth covered or if there is limited bone for all on 4 implants and a fixed solution is sought. This bridge design helps to improve aesthetics, phonetics and speech. Designed to be easily cleaned and adjusted.
“Smooth operation, very happy with the end result and very happy to recommend”


















