Composite Bonding in Cornwall
Looking to perfect your smile with composite bonding in Cornwall? At Wadebridge Dental, we specialise in transforming smiles using minimally invasive composite bonding techniques
From £400 per tooth
0% Finance Available
Book your Consultation today
Composite bonding is great for:
Changing the shape of a tooth or teeth to enhance their aesthetic
Masking imperfections like discoloured, chipped or mottled teeth
Composite veneers can cover staining, wear and texture caused by diet
Closing smaller gaps between teeth in a short appointment
Creating a brand new smile!
Achieve Your Perfect Smile with World-Renowned Cosmetic Dentist, Dr Jason Smithson, in Cornwall
If you’re considering improving the appearance of your smile, composite bonding is one of the most effective and minimally invasive options available.
For many years, we’ve helped countless patients across Cornwall achieve their dream smiles with composite bonding — a fast, natural-looking solution to chips, gaps, mis-shapen teeth, uneven edges, and discolouration.
We are proud to offer composite bonding carried out by world-renowned restorative and cosmetic dentist Dr. Jason Smithson, known for achieving exceptionally high aesthetic results through his uncompromising standards and fully bespoke approach. [Find out more about Jason Smithson here.]
The procedure is quick, painless, and perfect for anything from a single tooth repair to a full smile makeover.
Many of our Invisalign® patients also choose composite bonding as a final touch, helping to perfect their smile after teeth straightening — ideal for correcting minor imperfections and enhancing their newly aligned, whitened teeth.
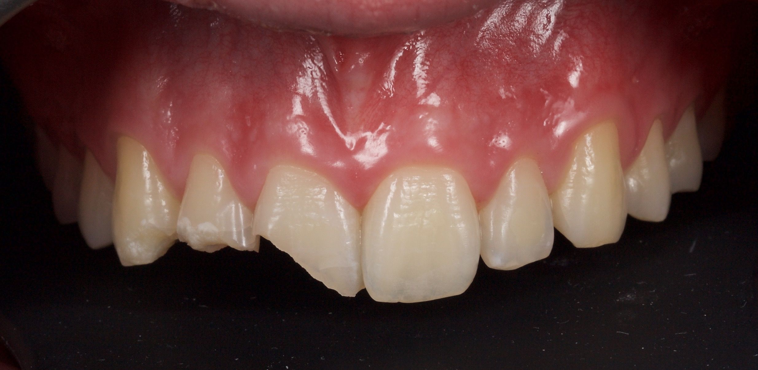
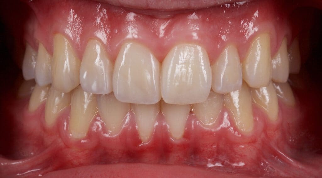
Dina Holder – Composite Bonding with Dr Jason Smithson
Dina attended the practice for a Cosmetic Consultation with World-Renowned Cosmetic Dentist, Dr Jason Smithson. She previously had composite bonding on her upper two front teeth but had become unhappy with the shape and shade of these. At her consultation, Dr Smithson advised composite bonding on her upper central teeth. Dina is very happy with the outcome of her bonding with Dr Smithson, especially how natural her new teeth look.
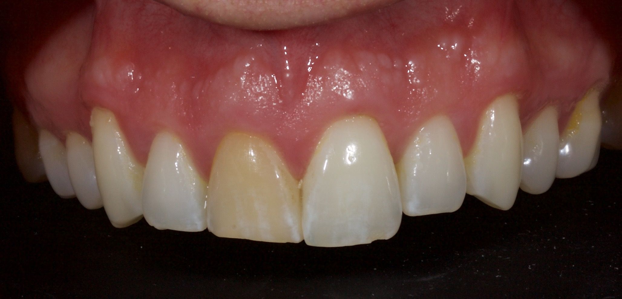
Before & After Composite Bonding by Dr Jason Smithson

Before 
After

Before

After
Benefits of Composite Bonding
Our Composite Bonding Process
Contact us to book your consultation in Wadebridge, Cornwall, to find out if composite bonding is suitable for you.
Bioclear
We are Certified Bioclear Providers at Wadebridge Dental.
Bioclear is a minimally invasive, modern composite restoration technique. It employs anatomically shaped, heated, injection-molded composite with custom clear mylar “Bioclear matrices,” resulting in seamless “infinity edge” restorations. The five core pillars are: complete biofilm removal, structural prep design, precise matrix placement, heated composite injection molding, and a multi-stage polish—together ensuring superior strength, aesthetics, and durability.
Compared to traditional layered composites, Bioclear’s injection-molded approach produces stronger, monolithic restorations that resist staining and wear like natural enamel, often lasting 10–20 years. It’s ideal for addressing black triangles, diastemas, chips, discoloration, and minor orthodontic reshaping—while preserving more enamel than crowns or porcelain veneers. The process typically completes in a single visit: biofilm removal, matrix placement, etching, heated composite injection, curing, then rock-star polishing.
In summary, Bioclear offers a conservative, durable, and aesthetic restorative option—bridging the gap between traditional bonding and full veneers, with fewer compromises and excellent visual results.





