Daytime Whitening
**We are offering FREE Consultations for Teeth Whitening by calling 01208 813816 and booking**
Price: £500
Before & After
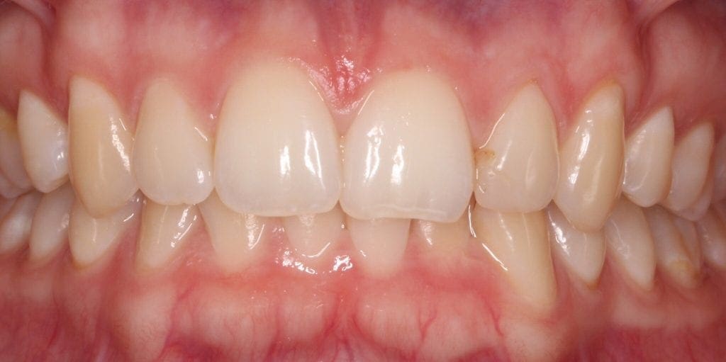
Before and after carried out by Andrew Taylor after only 2 weeks of wearing the whitening trays during the daytime for 1.5 hours

Before 
After


