Invisalign at Wadebridge Dental, Cornwall
Abbie started looking into Invisalign after noticing her front tooth overlapping, especially in photos.
She hadn’t planned to start treatment so soon but after coming to see Dr Philippa McNee and seeing her AI smile simulation she was ‘sold’! Abbie has always considered herself a naturally smiley person, but there was always a little insecurity at the back of her mind. Since having Invisalign, she’s noticed a real boost in her confidence and is now genuinely happy with her smile. We think she looks amazing!

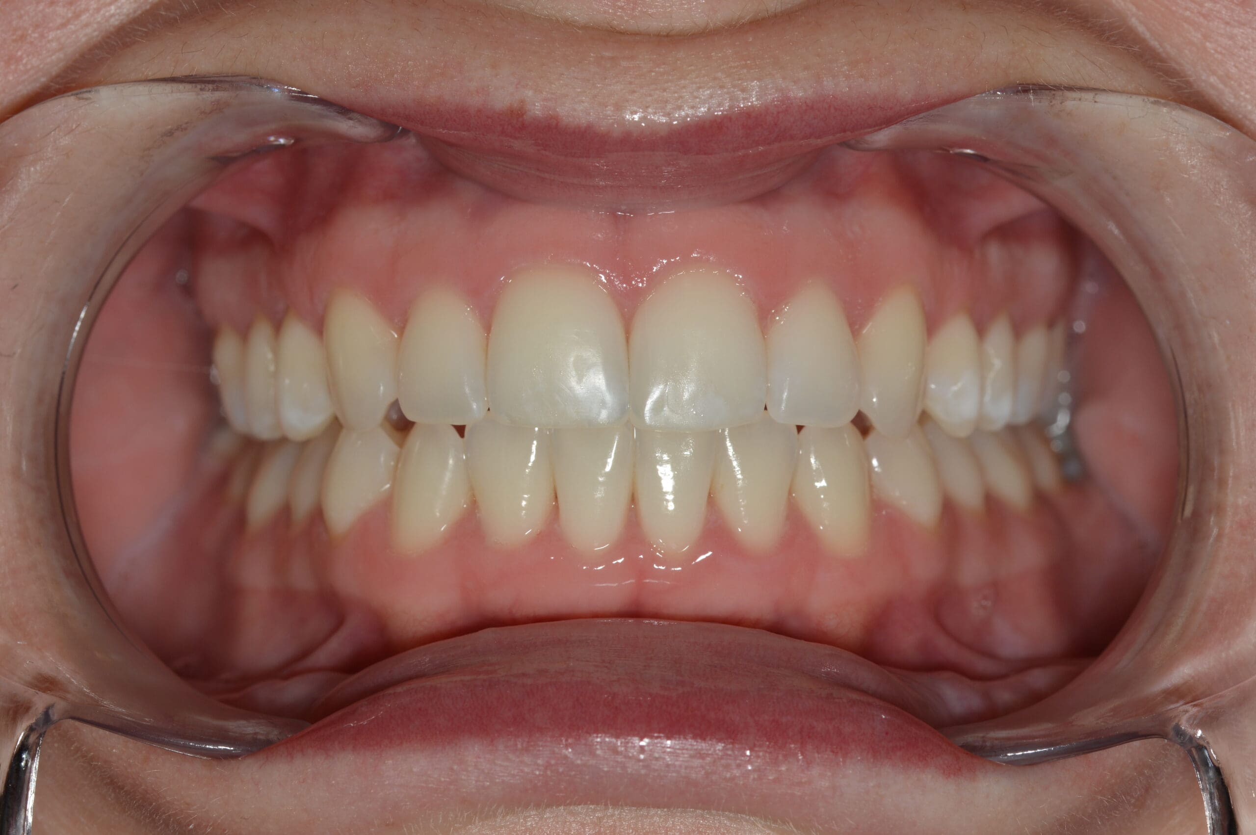
Before 
After
