Dentures in Wadebridge, Cornwall
Why choose us for dentures in Wadebridge, Cornwall?
World renowned Cosmetic Dentist, with over 25 years experience, Dr Jason Smithson, provides Cosmetic, well-fitted dentures at Wadebridge Dental, Cornwall
Affordable Dentures, with 0% finance available

Whether it be partial or complete, acrylic or cobalt chrome dentures, you are in the best hands to receive comfortable, highly aesthetic and well retained dentures
Book your Cosmetic Consultation with Dr Jason Smithson today
Contact Us
To discuss further, please contact us to Book a Cosmetic Consultation with Dr Jason Smithson on 01208 813816
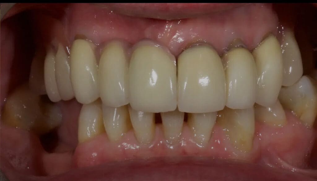
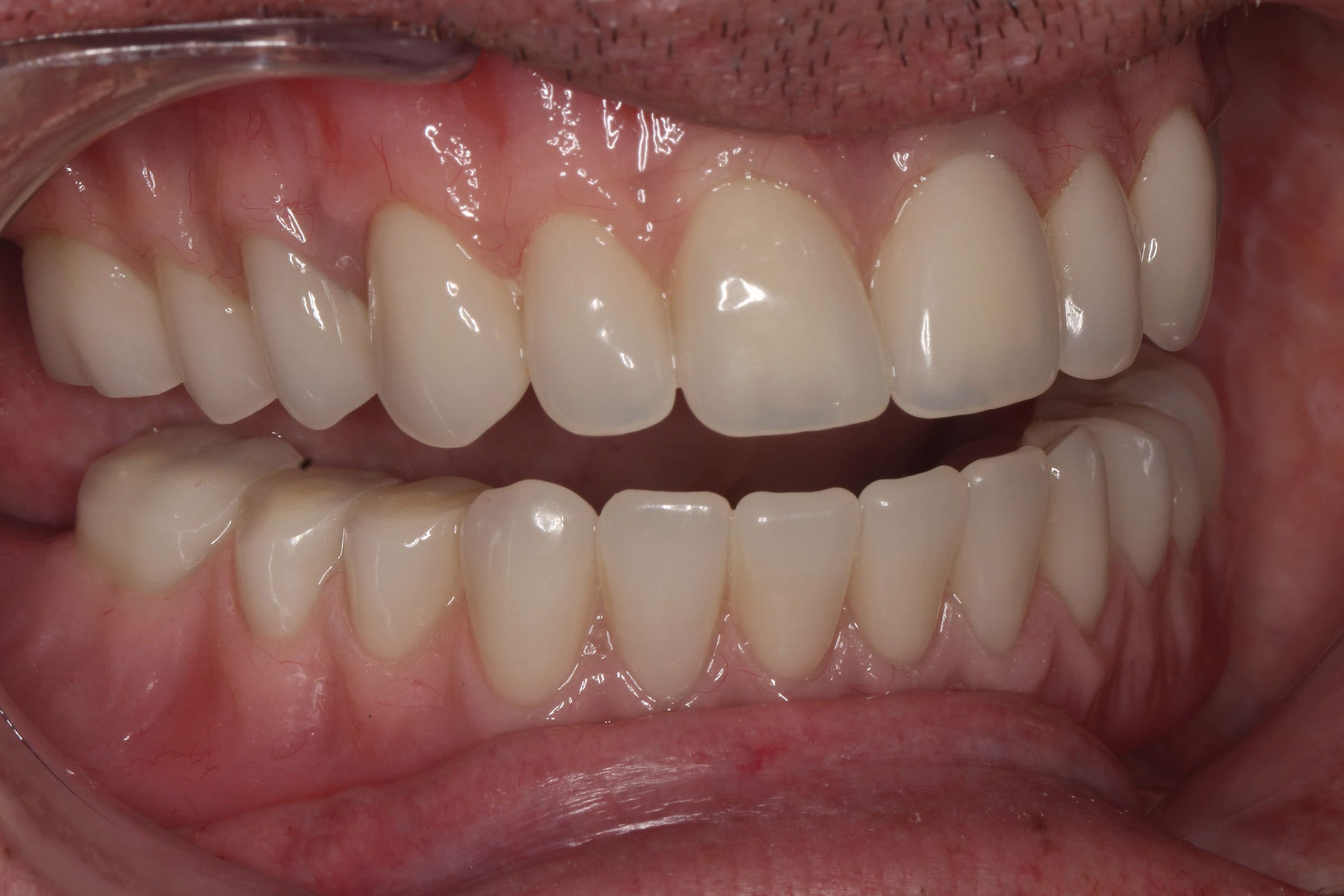
Partial Cobalt Chrome Denture with E Max teeth, and E Max Crowns by Dr Jason Smithson
Implant Retained Dentures
Implant retained dentures are removable acrylic or cobalt chrome partial or full dentures with minimal coverage across the roof of your mouth and other areas. Implants are placed in the bone underneath the dentures and then precision attachments on the denture hold the denture strongly in place. This can be achieved with 4 mini implants in the lower jaw or 6 in the upper jaw. Our principal dentist Dr Andrew Taylor can place these mini implants.
Implant retained Ostend Bridge
A removable bridge but with all the benefits of a fixed solution. The bridge is held in place by an implant retained bar to give that fixed feeling. Offering a price friendly stable option for patients who do not want the roof of their mouth covered or if there is limited bone for all on 4 implants and a fixed solution is sought. This bridge design helps to improve aesthetics, phonetics and speech. Designed to be easily cleaned and adjusted.
“Smooth operation, very happy with the end result and very happy to recommend”
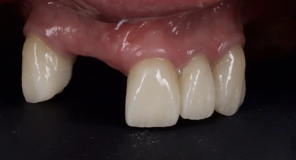
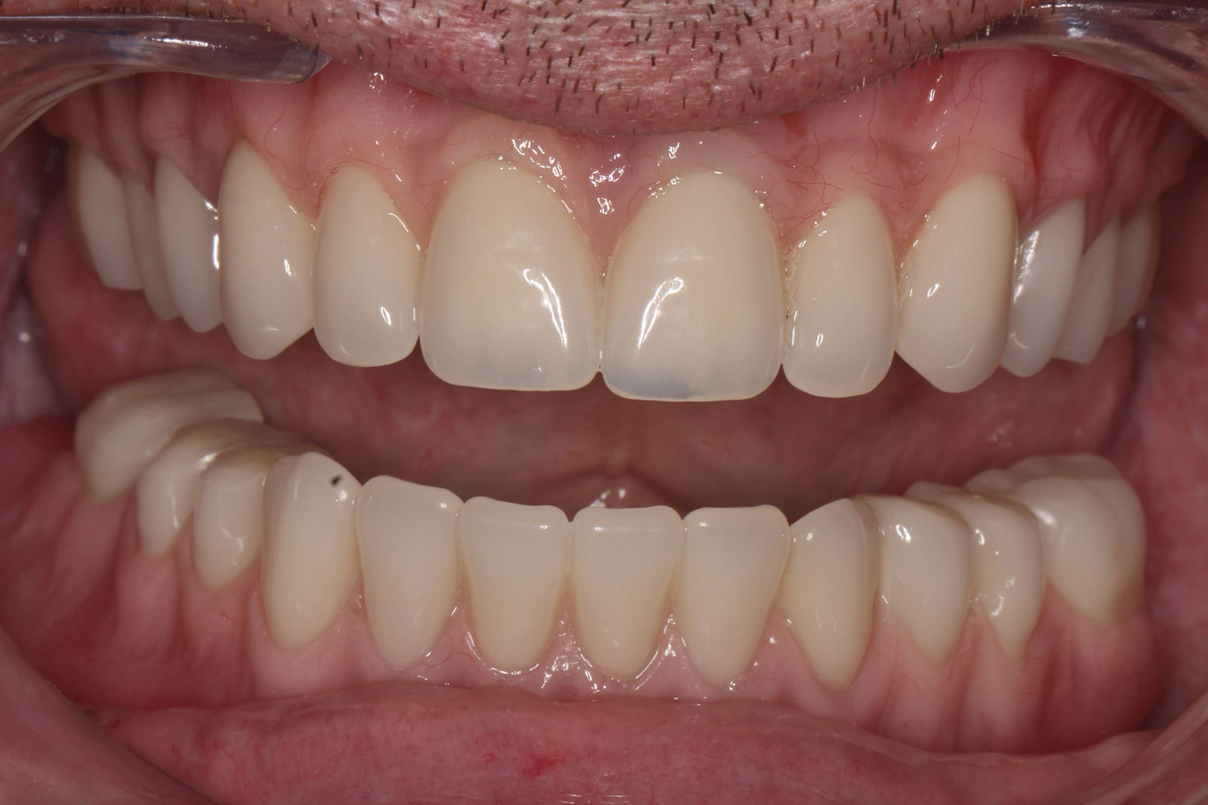
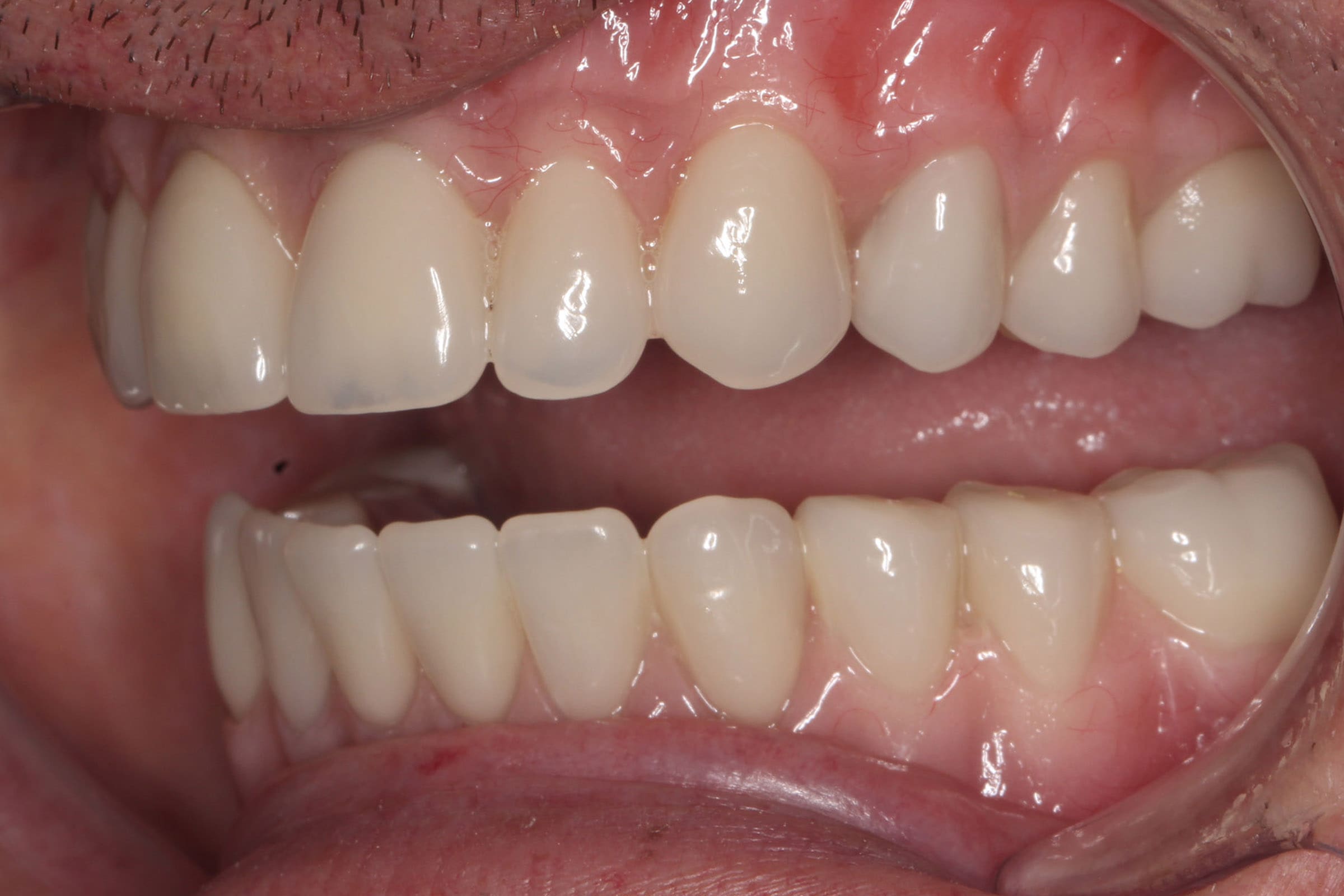
Before & After
This is what one of our patients who had implant retained dentures with us had to say:
“Utmost respect and thanks to Dr A Taylor and colleagues at Wadebridge Dental. They transformed my smile, my confidence and eating now feels normal. During procedures I was reassured when nervous and was fully informed prior to any interactions. I was extremely embarrassed by my teeth, now I am so glad I had implants done”

















