Dr Jason Smithson BDS (Lond 1995), DRD, RCS
GDC 71085
One of the most sought after Cosmetic Dentists in the world

Emax Veneers, by Dr Jason Smithson
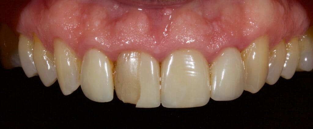
Trauma, repaired with composite resin by Dr Jason Smithson
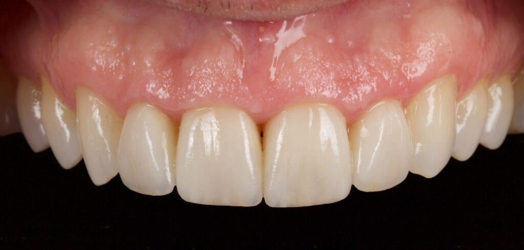
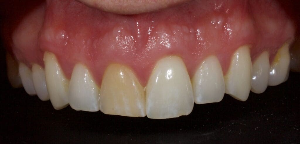
Discoloured tooth restored with resin after periodontal surgery by Dr Jason Smithson

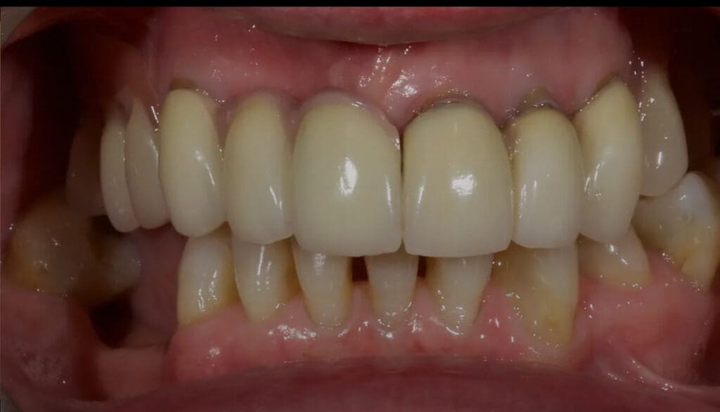
Old failing dentition 
New cobalt chrome partial denture with e max teeth and new e max crowns
Jason Smithson – Cosmetic Dentist in Wadebridge, Cornwall
Jason Smithson is an In-Demand World Renowned Cosmetic and Advanced Restorative Dentist who works as part of our multidisciplinary clinical team here at Wadebridge Dental in Cornwall, providing cosmetic treatments such as composite bonding, crowns, veneers and cosmetic dentures to the highest aesthetic level. At our dental practice in North Cornwall Jason Smithson is our lead dentist for these cosmetic treatments and advanced adhesive dentistry and works very closely with our team that offer dental implants, Invisalign and hygiene treatments.
Jason regularly accepts referrals from fellow dental professionals for advanced restorative and cosmetic dentistry as well as self referrals.
Considered to be the ‘Dentist’s Dentist’, regularly treating other dentists; many of whom travel from throughout the UK to see him in Wadebridge, Cornwall.
Jason qualified at the Royal London Hospital in 1995, achieving several awards including The Constance Klein Memorial, The Stafford Millar, and The Malcolm Jenkins Scholarships, The American Association of Endodontics Prize, and the Overall Award for Clinical Dentistry.
After spending 3 years in oral surgery residency in London and a further year practicing restorative dentistry in London’s Harley Street Medical District, he relocated to Cornwall, where his focus is microscope-enhanced adhesive dentistry.
His specific interest is direct composite resin artistry (cosmetic tooth-coloured fillings) and minimally invasive all ceramic restorations and he has presented to dentists locally, nationally, and internationally (USA, Canada, Australia, New Zealand, Southeast Asia, and Europe) on this topic.
He has presented from undergraduate to master’s level at Universities (UNC, McGill, Barts and The London, Warwick, Universidad CES and Penisula) and prestigious international meetings including BACD, BAAD, AACD, AARD, SIDOC, BOS, BSOS, ADA and ADX.
Jason is the owner of Oral Alchemy Dental Seminars and a partner in The Restorative Programme: both are innovative education providers working internationally. www.restorativeprogramme.co.uk
He has given hands-on programs on behalf of dental material manufacturers – GC, Ivoclar, Kerr, Kulzer, Garrison, Dentsply, Cosmedent, Optident, Micerium, CarlZeiss, Zumax, Global, Velopex, Ultradent, Clinician’s Choice and Triodent.
He is a Worldwide “Key Opinion Leader” for Kulzer.
He is an Accredited International Trainer for Carl Zeiss Dental Academy.
Jason is the only European Resident Faculty at Spear Education AZ USA, where he is responsible for The Composite Program.
Jason has achieved Diplomat Status in Restorative Dentistry from the Royal College of Surgeons (England).
He is on the Editorial Board of The Russian Journal of Esthetic Dentistry and the UK-based “Private Dentistry” Journal and has published numerous peer-reviewed articles on adhesive and aesthetic dentistry in both the UK and abroad.
He is joint author of “Vertical Margin Finish Lines in Fixed Prosthodontics” (EDRA) published in English, Italian and Japanese.
He developed the “Essentia” composite system with GC Europe which is now sold Worldwide.
In addition to this, Jason has developed unique burr systems with Meissinger, Komet and Brassler and a direct resin instrument kit with American Eagle.
Jason is Past-President and Founder of the British Association of Private Dentistry.









